〒231-0047 神奈川県横浜市中区羽衣町2-5-6
JR「関内駅」北口より徒歩2分

診療時間
9:30~13:00 / 15:00~18:30
土曜午後 
14:30~17:30
休診日
水曜日、日曜日、祝日

お気軽にご予約・お問合せください

045-260-7572

安心・安全なセラミック素材を厳選

金属ではなく、強度も高く・体になじみやすい素材であるセラミック素材にこだわり、体に健康なセラミック治療にこだわっています。セラミックの材質も、技工所を厳選することで、より患者様に満足いただける材質のセラミックを使用しています。

丁寧なカウンセリングと説明を心掛けています

田坂歯科クリニックでは、患者様自身がご自身の価値観で考えた際に、より豊かな人生を送っていただけるように治療の種類や特徴などの説明をしっかりと行っています。

安い保険治療だけでなく、費用は掛かるが品質の高い自費診療も選択肢としてしっかりとご説明することを行っています。

被せ物や詰め物には寿命があり、中でも銀歯は金属が溶け出したり、歯とくっつけている接着剤の劣化で5~6年の寿命と言われています。

多くは知られていない事実で、約7割の同じ歯での「再発」があります。
銀歯はセラミックなどと比較すると虫歯の再発率も高くなっています。

唾液から溶け出した成分(銀イオン)が体内に蓄積し、金属アレルギーを引き起こすこともあります。

銀歯から溶け出した「銀イオン」は歯茎を黒くする作用もあり、金属を使用した被せ物でも同様に歯茎が黒くなることがあります。

透明感ある自然な白さ

セラミック治療は保険診療の銀歯と違って、本物の歯と見分けがつきにくいので、口内を気にすること無く、自身のある笑顔をお見せできます!

虫歯・歯周病が悪化しにくい

セラミック治療は精度が非常に高く、適合性の良い被せ物です。メンテナンスをしっかりすれば、歯とのつなぎ目から虫歯になることも防げます。

金属アレルギーにならない

保険治療の銀歯の場合は、金属アレルギーのリスクがありますが、セラミックは一切金属を使用しないので、安心して使用することが出来ます。

耐久性が高い

セラミックは劣化しない素材。半永久的なホワイトニングや簡易な矯正目的でセラミック治療を受けられる患者様も近年では沢山いらっしゃいます。

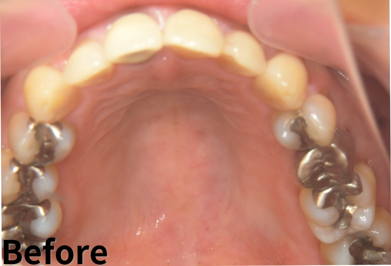
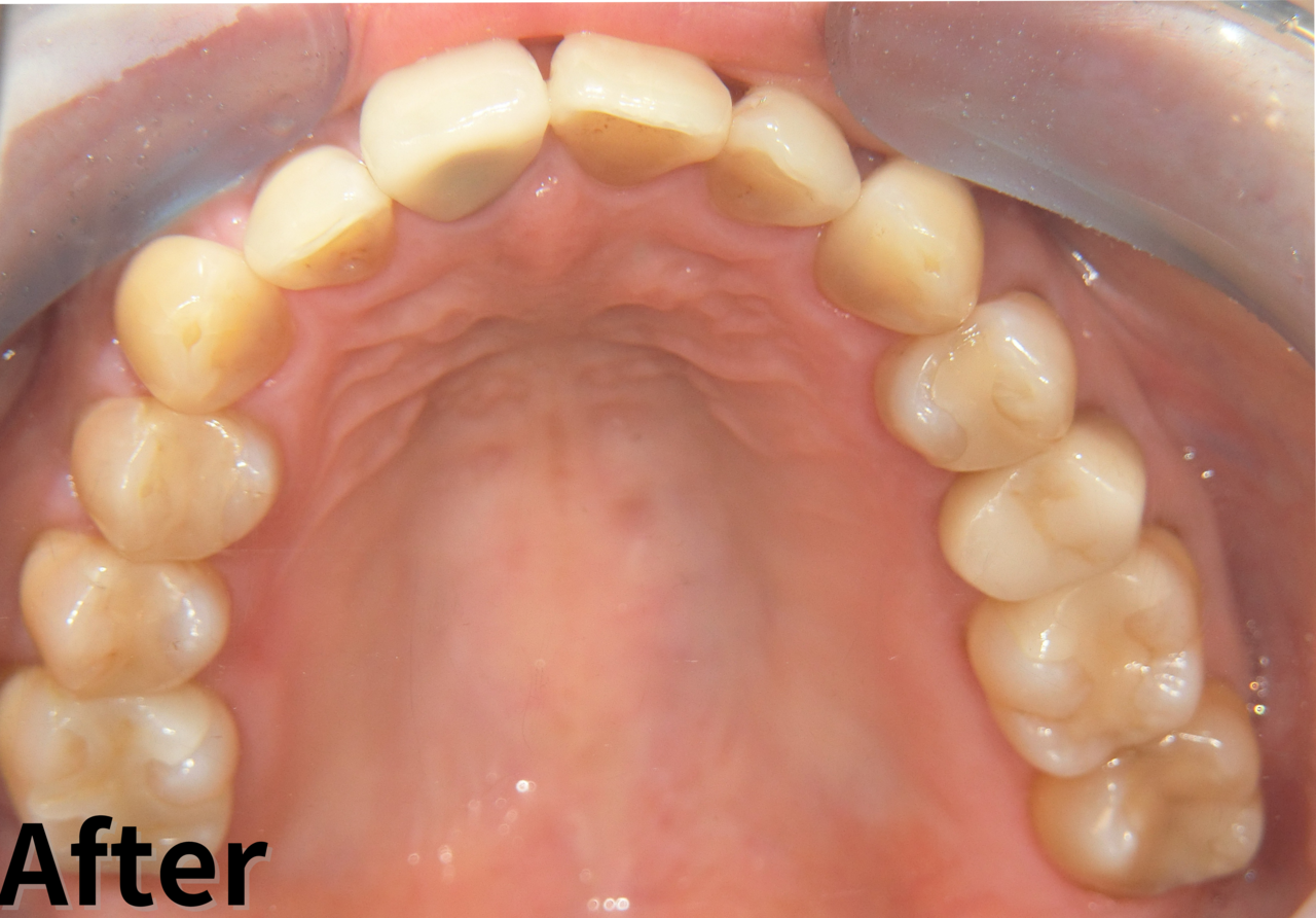
症例写真

症例①

患者様情報 30代男性
治療内容 ・上下10本 e-max インレー アンレー クラウン
治療動機/主訴 ・お口の中の銀歯をセラミックに変えたい。
リスク

・かみ合わせや食いしばり、歯ぎしりが強い方は詰め物・被せ物が割れる可能性があります。

・自費診療(保険適用外)となります。

症例②

患者様情報 40代 女性
治療内容 ・下顎8本 e-maxとジルコニア インレー、アンレー、クラウン
治療動機/主訴 ・銀歯を白く変えて綺麗にしたい
リスク

・かみ合わせや食いしばり、歯ぎしりが強い方は詰め物・被せ物が割れる可能性があります。

・自費診療(保険適用外)となります。

症例③

患者様情報 40代 男性
治療内容 ・上顎3本 ジルコニアセラミック
・下顎3本 フルジルコニア ブリッジ
治療動機/主訴 ・全体的に見た目をよくしてセラミックにしたい
リスク

・かみ合わせや食いしばり、歯ぎしりが強い方は詰め物・被せ物が割れる可能性があります。

・自費診療(保険適用外)となります。

症例④

患者様情報 40代男性
治療内容 ・ジルコニアセラミック3本(約27万円)
治療動機/主訴 ・転んで前歯が欠けたので治したい
リスク

・かみ合わせや食いしばり、歯ぎしりが強い方は詰め物・被せ物が割れる可能性があります。

・自費診療(保険適用外)となります。

症例⑤

患者様情報 50代女性
治療内容 ・上の歯10本
治療動機/主訴

・前歯をきれいにしたい
・銀歯を白くしたい

リスク

・かみ合わせや食いしばり、歯ぎしりが強い方は詰め物・被せ物が割れる可能性があります。

・自費診療(保険適用外)となります。

症例⑥

患者様情報 50代男性
治療内容 ・上下合わせて11本の治療
治療動機/主訴 ・銀歯を全部白くしたい
リスク

・かみ合わせや食いしばり、歯ぎしりが強い方は詰め物・被せ物が割れる可能性があります。

・自費診療(保険適用外)となります。

症例⑦

患者様情報 50代女性
治療内容 ・上下合計9本(e-max、ジルコニア、インレー、アンレー、クラウン、ジルコニアセラミック)
治療動機/主訴 ・差し歯、銀歯を白くしたい
リスク

・かみ合わせや食いしばり、歯ぎしりが強い方は詰め物・被せ物が割れる可能性があります。

・自費診療(保険適用外)となります。

田坂歯科クリニックでは、良い治療をより多くの患者様にお届けするために、この価格帯の実現をずっと目指して努力をしてきました。

多くの技工所の中から、提携していただける技工所と密接に連携をとることで、ほかの歯科医院よりも価格帯を下げてセラミック治療をご提供しています。

田坂歯科クリニックでは、より見た目がキレイになる治療をお届けすることを大切にしています。

銀歯や着色などで、歯が目立ったたり、汚れが目立ったりしてしまいます。そうなってしまうと、思いっきり笑えなかったり、口元を隠さないといけなかったり、そういったお悩みを持たれている方もいらっしゃいます。そういった方には、セラミック治療を受けていただくことで口元のキレイをサポートします。

田坂歯科クリニックでは、患者様のみなさまのお悩みや要望をしっかりとお聞きした上で、最善の治療方法をご提案するよう心がけています。

そのため、患者様とのカウンセリングの時間を設けることで、お悩みやご要望をしっかりとお聞きすることを重視しています。もちろん、質問や相談なども乗りますので、お気軽にご相談ください。

歯の治療に使う素材にはいくつも種類があるため、よくわからないという方が多いと思います。また、とにかくきれいな歯にして欲しいという患者さんもいれば、あまり高いものは難しいという患者さんもいらっしゃいます。

当院は、特定の治療法を患者さんにお勧めするのではなく、仕事内容やライフスタイル、ご希望の内容、そして費用面も含めて、その患者さんとって一番良いと考えられる選択肢をご提示し、よく話をした上で納得いただけるものをお選びいただくことを大切にしています。

これまでにたくさんの審美歯科治療を行ってきた経験を活かし、あなたにピッタリの、そしてご満足いただける治療方針をご提案いたします。

通院1回目(カウンセリングと検査)

まずは、お悩みやご要望をお聞きいたします。
何が気になるのか。どういう風になりたいか。歯の色は今と同じでよいのか。白くしたいか。形は。
いつまでにという期限は?何回で?費用は?何でもご相談ください。

次にレントゲン等を取り、かみ合わせや歯並び、歯の状態等、お口の状況を確認いたします。

最後にある程度のご提案をさせていただき、資料をお渡しいたします。
次回までにご検討いただければと思います。

通院2回目(治療計画の決定)

患者様のご希望、状況に応じ、ご相談し、治療のゴールを決めましょう。
年齢、性別、職業、生活スタイル、考え方、いろんな要因により治療のゴールは様々です。
何でもご相談ください。

通院3回目(治療のスタート)

歯を削り、仮歯を入れます。
必要に応じて、根の治療等行います

通院4回目(型取り)

セラミックを作るための型取りをいたします。

通院5回目(セラミックセット)

セラミックを実際にお口の中で調整いたします。
色や形に問題があれば、修正いたします。

通院6回目(確認)

問題がないか確認をいたします。
その後、セラミックが長持ちするように定期的なクリーニング、メインテナンスを行っていきます。

≪ セラミック治療料金一覧 ≫
e-max
( 審美性の高いセラミック )
施術名・内容・数量 詰め物 ( 1本 ) 39,800円(税別)
施術名・内容・数量 被せ物 ( 1本 ) 59,800円(税別)
フルジルコニア
( ダイヤモンド強度のセラミック )
施術名・内容・数量 詰め物 ( 1本 ) 59,800円(税別)
施術名・内容・数量 被せ物 ( 1本 ) 69,800円(税別)
ジルコニアセラミック
(前歯用/より審美性の高いセラミック)
施術名・内容・数量 被せ物 ( 1本 ) 89,800円(税別)
施術名・内容・数量 被せ物 ( オプションオーダーメイドの場合1本 ) 109,800円(税別)
ファイバーポスト
施術名・内容・数量 1本 10,000円(税別)
技術料(型取り料)
施術名・内容・数量 1本 5,000円(税別)

※補綴治療(詰め物、被せ物)におきましては、技術料(型取り料)として別途5,000円(税別)頂戴しております。

≪ セラミック矯正の料金一覧 ≫
セラミック矯正
(e-maxを使用したセラミック矯正 )
施術名・内容・数量 被せ物 ( 4本 ) 198,000円(税別)
施術名・内容・数量 被せ物 ( 6本 ) 278,000円(税別)
ハイグレードセラミック矯正
(ジルコニアセラミックを使用したセラミック矯正 )
施術名・内容・数量 被せ物 ( 4本 ) 278,000円(税別)
施術名・内容・数量 被せ物 ( 6本 ) 418,000円(税別)

他院で途中まで治療してしまったのですが大丈夫ですか?

大丈夫です!

被せ物は歯の土台となる部分さえあればかぶせることが可能です。

他の歯医者さんでは高くて手が出しづらいジルコニアクラウンが入れたい!という皆様は、ぜひお気軽にお問い合わせください。

また、現在通っている歯医者さんに不安がある…という方は、まずはセカンドオピニオンとして当院をご活用いただければと思います。

なるべく自分の歯の色と同じ自然な見た目にしたいのですが?

おまかせください!

当院の詰め物・被せ物の色は、ご自身の歯の色に合わせて選び調整することが出来ます。

調整を行うことで、できる限り自然な見た目に仕上げることが可能です。

当院では、前歯や笑った時に見える奥歯など目立つ部分の治療にもオススメしています。

詰め物は安心価格で提供してもらえないの?

もちろんご用意しております!

当院では、オールセラミックであるe-maxインレーを取り入れております。

e-maxインレーは金属を一切使用せず、適合性も良い為、虫歯の再発を防ぎます。

見た目も歯と非常に近い色での提供が可能である為、詰め物をしていることはほとんどわかりません。

お気軽にお問い合わせください。

時間
9:30~13:00
15:00~18:30

土曜午後は14:30~17:30 ( 日曜の午前中は診療しております。)

休診日:水・日・祝

※受付は、それぞれの診療時間が終わる30分前までにお願いします。

所在地

〒231-0047 神奈川県横浜市中区羽衣町2-5-6
羽衣町バス停前
マルエツプチ関内店の2階です

電話番号
045-260-7572

〒231-0047 神奈川県横浜市中区羽衣町2-5-6
羽衣町バス停前
マルエツプチ関内店の2階です

立体駐車場「タワー京浜パーキング」もしくは「タイムス」をご利用ください。

1時間分のチケットをお渡ししております。

24時間簡単Web予約はコチラ!

あなたのお悩みやご要望に、専門の歯科医師がお答えいたします。お気軽にご利用ください。
■ご予約お申し込みには、個人情報の入力が必要となります。

いただいた個人情報を使用して、営業の連絡等をすることは一切ありませんのでご安心下さい。
■予約フォームはSSL暗号化通信に対応しています。送信内容を第三者に読み取られることはありません。

以下の既往歴がある方、以下の薬剤使用中の方、高齢の(70歳を超える)方、授乳中の方は処置や手術をお断りすることがあります。また、妊娠中や産後3ヶ月以内の方は全ての治療をご遠慮いただいております。あらかじめご了承ください。

《 既往歴 》
高血圧、糖尿病、喘息、てんかん、高度肥満(BMI30以上)、心臓病、脳疾患、精神科疾患、膠原病、呼吸器疾患、腎機能障害、肝機能障害、血液疾患

《 薬剤使用中 》
ステロイド、免疫抑制剤、抗凝固剤・抗血小板剤など(血液をサラサラにする薬)

必須

(例:山田太郎)

必須

(例:03-0000-0000)

必須

(例:sample@sample.jp)

任意

(例:4月1日10:00~12:00、午後 など)
※本日より3日後以降をご入力ください。
※ご希望の日時を必ずご入力ください。
※3日以内のご来店ご希望のお客様は045-260-7572までお電話ください。

任意

テキストを入力してください

※次の画面が出るまで、4〜5秒かかりますので、
続けて2回押さないようにお願いいたします。

経歴

1986年 広島県修道高校 卒業
1992年 鶴見大学歯学部 卒業
1992年 医療法人審美会鶴見歯科医院 入局
1997年 鶴見歯科医院第4診療室 室長
2000年 鶴見歯科医院 副院長
2000年 鶴見歯科学園付属診療室 副院長
2002年 田坂歯科クリニック 開院

所属学会

・日本歯科補綴学会
・日本インプラント学会
・日本歯周病学会